中天新聞網
LIVE 24HR
  • 總統出訪生變
  • 發芽馬鈴薯輸台
  • 即時
  • 熱門
  • 要聞
  • 社會
  • 娛樂
  • 體育
  • 生活
  • 國際
  • 大陸
  • 影音
  • 健康
  • 快點購
  • 財經
    • 總統出訪生變
    • 發芽馬鈴薯輸台
    • 即時
    • 熱門
    • 要聞
    • 社會
    • 娛樂
    • 體育
      • 雙北世壯運
    • 生活
    • 國際
    • 大陸
    • 影音
      • 每日必看
      • 熱搜發燒榜
      • 大新聞大爆卦
      • 辣晚報
      • 頭條開講
      • 全球大視野
    • 健康
    • 快點購
      • 財經
    • 總統出訪生變
    • 發芽馬鈴薯輸台
    • 即時
    • 熱門
    • 要聞
    • 社會
    • 娛樂
    • 體育
    • 生活
    • 國際
    • 大陸
    • 影音
    • 健康
    • 快點購
    • 財經
    1. 中天新聞網
    2. 垂腕

    垂腕相關報導

    有2項結果

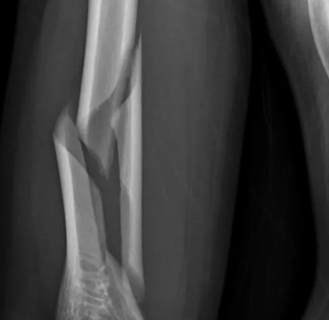
    瘦高男注意!他比腕力竟把手臂擰斷 扭轉力比撞擊更傷骨
    瘦高男注意!他比腕力竟把手臂擰斷 扭轉力比撞擊更傷骨
    健康

    瘦高男注意!他比腕力竟把手臂擰斷 扭轉力比撞擊更傷骨

    比腕力

    骨折

    肱骨螺旋性骨折

    扭轉力骨折

    橈神經損傷

    垂腕

    花蓮慈濟醫院

    骨折手術

    骨折預防

    以為是中風!他起床手腕不舉…一查竟是「橈神經損傷」
    以為是中風!他起床手腕不舉…一查竟是「橈神經損傷」
    健康

    以為是中風!他起床手腕不舉…一查竟是「橈神經損傷」

    橈神經損傷

    腦中風

    垂腕症

    注射藥物

    蜜月麻痺

    壓迫傷害

    相關標籤:

    花蓮慈濟醫院

    比腕力

    骨折

    橈神經損傷

    骨折預防

    肱骨螺旋性骨折

    扭轉力骨折

    骨折手術

      中天新聞網
      新聞、影音、節目、直播、社群及App都深獲網友喜愛,在全世界各地華人亦頗受歡迎,全球擁有2000萬粉絲。

      追蹤我們

      • Twitter
      • Facebook
      • Instagram
      • Line
      • TikTok

      新聞分類

      • 總統出訪生變
      • 發芽馬鈴薯輸台
      • 即時
      • 要聞
      • 社會
      • 娛樂
      • 體育
      • 生活
      • 國際
      • 大陸
      • 影音
      • 健康

      影音專區

      • 24小時直播
      • 影音節目

      關於我們

      • 中天介紹
      • 人才招募
      • 使用條款
      • 隱私權條款
      • 免責聲明
      • 商務合作方案

      客服資訊

      • 公告
      • 常見問題
      • 聯絡我們
      • 我要爆料
      • 我要投稿

      聯絡我們

      • 中天電視股份有限公司
      • 臺北市內湖區民權東路六段25號
      • 總機:(02)6600-7766
      • 客服專線:02-2792-3151
      • 客服信箱:service@ctitv.com.tw

      中天新聞網版權所有 © 2022 CTiTV Inc. all Rights Reserved.

      China Times Group