CTITV LOGO
LIVE 24HR
  • 決戰2026
  • 即時
  • 熱門
  • 要聞
  • 社會
  • 娛樂
  • 體育
  • 生活
  • 國際
  • 大陸
  • 影音
  • 健康
  • 財經
    • 決戰2026
    • 即時
    • 熱門
    • 要聞
    • 社會
    • 娛樂
    • 體育
      • 雙北世壯運
    • 生活
    • 國際
    • 大陸
    • 影音
      • 每日必看
      • 熱搜發燒榜
      • 大新聞大爆卦
      • 辣晚報
      • 頭條開講
      • 全球大視野
    • 健康
    • 快點購
      • 財經
    • 決戰2026
    • 即時
    • 熱門
    • 要聞
    • 社會
    • 娛樂
    • 體育
    • 生活
    • 國際
    • 大陸
    • 影音
    • 健康
    • 快點購
    • 財經
    1. 中天新聞網
    2. 血球減少

    血球減少相關報導

    有1項結果

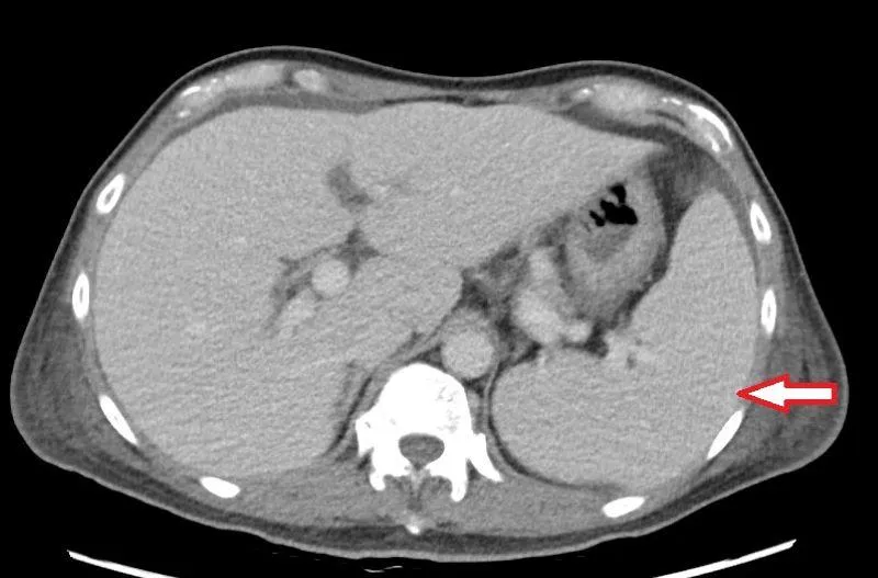
    反覆高燒找不到病因!竟是「三尖瓣重度逆流」害脾臟腫大
    反覆高燒找不到病因!竟是「三尖瓣重度逆流」害脾臟腫大
    健康

    反覆高燒找不到病因!竟是「三尖瓣重度逆流」害脾臟腫大

    三尖瓣逆流

    感染性心內膜炎

    脾臟腫大

    血球異常

    反覆發燒

    心臟瓣膜

    人工瓣膜

    台北慈濟醫院

    三尖瓣閉鎖不全

    心臟超音波

    肝硬化

    血球減少

    相關標籤:

    心臟瓣膜

    心臟超音波

    台北慈濟醫院

    脾臟腫大

    人工瓣膜

    反覆發燒

    三尖瓣逆流

    感染性心內膜炎

    血球異常

    三尖瓣閉鎖不全

      CTITV LOGO
      新聞、影音、節目、直播、社群及App都深獲網友喜愛,在全世界各地華人亦頗受歡迎,全球擁有2000萬粉絲。

      追蹤我們

      • Twitter
      • Facebook
      • Instagram
      • Line
      • TikTok

      新聞分類

      • 決戰2026
      • 即時
      • 要聞
      • 社會
      • 娛樂
      • 體育
      • 生活
      • 國際
      • 大陸
      • 影音
      • 健康
      • 財經

      影音專區

      • 24小時直播
      • 影音節目

      關於我們

      • 中天介紹
      • 人才招募
      • 使用條款
      • 隱私權條款
      • 免責聲明
      • 商務合作方案

      客服資訊

      • 公告
      • 常見問題
      • 聯絡我們
      • 我要爆料
      • 我要投稿

      聯絡我們

      • 中天電視股份有限公司
      • 臺北市內湖區民權東路六段25號
      • 總機:(02)6600-7766
      • 客服專線:02-2792-3151
      • 客服信箱:service@ctitv.com.tw

      中天新聞網版權所有 © 2022 CTiTV Inc. all Rights Reserved.

      China Times Group