中天新聞網
LIVE 24HR
  • 川普又遇槍擊
  • 決戰2026
  • 即時
  • 熱門
  • 要聞
  • 社會
  • 娛樂
  • 體育
  • 生活
  • 國際
  • 大陸
  • 影音
  • 健康
  • 快點購
  • 財經
    • 川普又遇槍擊
    • 決戰2026
    • 即時
    • 熱門
    • 要聞
    • 社會
    • 娛樂
    • 體育
      • 雙北世壯運
    • 生活
    • 國際
    • 大陸
    • 影音
      • 每日必看
      • 熱搜發燒榜
      • 大新聞大爆卦
      • 辣晚報
      • 頭條開講
      • 全球大視野
    • 健康
    • 快點購
      • 財經
    • 川普又遇槍擊
    • 決戰2026
    • 即時
    • 熱門
    • 要聞
    • 社會
    • 娛樂
    • 體育
    • 生活
    • 國際
    • 大陸
    • 影音
    • 健康
    • 快點購
    • 財經
    1. 中天新聞網
    2. 肋骨骨折

    肋骨骨折相關報導

    有3項結果

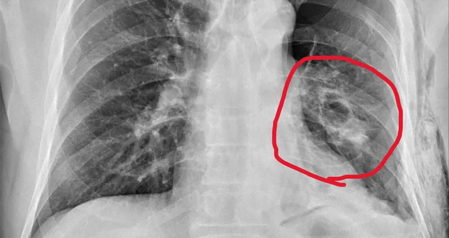
    跌倒後胸痛呼吸刺痛!醫:恐是肋骨骨折…非單純挫傷
    跌倒後胸痛呼吸刺痛!醫:恐是肋骨骨折…非單純挫傷
    健康

    跌倒後胸痛呼吸刺痛!醫:恐是肋骨骨折…非單純挫傷

    肋骨骨折

    跌倒受傷

    胸部外傷

    隱形傷害

    呼吸困難

    連枷胸

    氣胸

    血胸

    肺炎併發症

    桃園醫院

    肋骨固定手術

    深呼吸訓練

    肺泡塌陷

    骨折就醫

    機車擦撞「外觀輕傷」竟是血胸!肋骨斷裂刺穿肺臟險奪命
    機車擦撞「外觀輕傷」竟是血胸!肋骨斷裂刺穿肺臟險奪命
    健康

    機車擦撞「外觀輕傷」竟是血胸!肋骨斷裂刺穿肺臟險奪命

    機車車禍

    肋骨骨折

    血胸

    肺臟破裂

    肋骨內固定手術

    胸腔外科

    微創手術

    平等澄清醫院

    杜承哲醫師

    外傷急救

    呼吸衰竭

    連枷胸

    他車禍後兩天才就醫!肋骨斷4根、脾臟破裂差點丟命
    他車禍後兩天才就醫!肋骨斷4根、脾臟破裂差點丟命
    健康

    他車禍後兩天才就醫!肋骨斷4根、脾臟破裂差點丟命

    機車車禍

    員榮醫院

    肋骨骨折

    氣胸

    脾臟破裂

    相關標籤:

    氣胸

    呼吸困難

    血胸

    桃園醫院

    連枷胸

    肺炎併發症

    跌倒受傷

    胸部外傷

    隱形傷害

    肋骨固定手術

      中天新聞網
      新聞、影音、節目、直播、社群及App都深獲網友喜愛,在全世界各地華人亦頗受歡迎,全球擁有2000萬粉絲。

      追蹤我們

      • Twitter
      • Facebook
      • Instagram
      • Line
      • TikTok

      新聞分類

      • 川普又遇槍擊
      • 決戰2026
      • 即時
      • 要聞
      • 社會
      • 娛樂
      • 體育
      • 生活
      • 國際
      • 大陸
      • 影音
      • 健康

      影音專區

      • 24小時直播
      • 影音節目

      關於我們

      • 中天介紹
      • 人才招募
      • 使用條款
      • 隱私權條款
      • 免責聲明
      • 商務合作方案

      客服資訊

      • 公告
      • 常見問題
      • 聯絡我們
      • 我要爆料
      • 我要投稿

      聯絡我們

      • 中天電視股份有限公司
      • 臺北市內湖區民權東路六段25號
      • 總機:(02)6600-7766
      • 客服專線:02-2792-3151
      • 客服信箱:service@ctitv.com.tw

      中天新聞網版權所有 © 2022 CTiTV Inc. all Rights Reserved.

      China Times Group