有220項結果
...
新冠肺炎
疫情
疾管署
升溫
高峰
傳染
全身痠痛
咳嗽
發燒
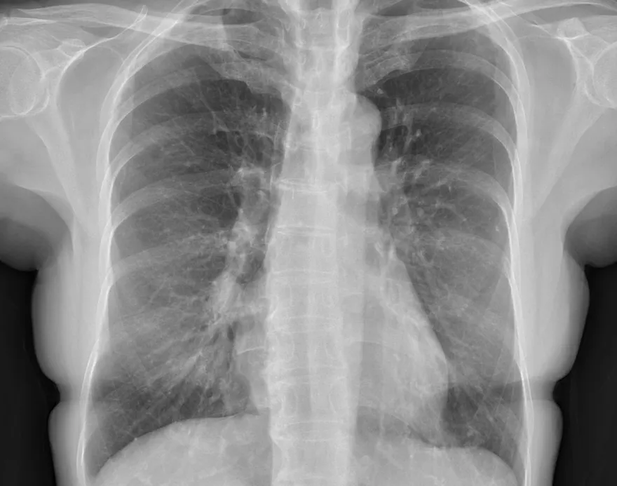
不抽菸
患者
X光
肺癌
蘇一峰
零售業
Walmart
沃爾瑪超市
關稅
美國
成本
消費者
川普
核三廠除役
非核家園
光電
民進黨
網友
台電核三廠
薪水
大陸
四川
女醫師
副業
撿回收
瀟湘晨報
罷免
台南
謝龍介
國民黨台南市黨部
台南安平
賴清德
黃仁勳
NVIDIA
輝達
執行長
抵台
台灣
簽名球
世壯運
網拍
棒球
轉賣
味全龍
私人專機
龍捲風
密蘇里州
肯塔基州
詐騙
虛擬貨幣
app
打詐儀錶板
下載
連續劇
資金
投資
交友軟體
LINE
鐵板燒
財務危機
老闆
欠債
勞工局
員工
勞健保
欠薪
卓榮泰
核三廠
核電
核能除役
核能延役
核電延役
核電除役
咖啡
超商咖啡優惠
咖啡優惠
全家
7-11
萊爾富
苗栗縣
槍擊案
少年
小隊長
勾結
黑幫
收押
羈押禁見
員警
苗栗地院
苗栗地檢署
頂包
貪汙
周湯豪
世大運
尷尬
道歉
口誤
火力發電
柯志恩
減碳永續
白沙屯媽祖進香
白沙屯媽祖
香燈腳
侵占
免費
接送
駕駛
累了請上車
髒電
鋒面
豪雨特報
下雨
芬蘭
直升機
空中相撞
墜毀
罹難
赫爾辛基
普丁
澤倫斯基
北約
俄烏戰爭