有16項結果
...
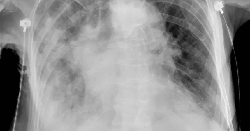
大白肺
亞洲大學附屬醫院
嗜睡
咳嗽
全身無力
血氧濃度
肺炎
大S
流感併發肺炎
雲林縣
職業軍人
A型流感
發高燒
肺部浸潤
青壯年
流感
中央社
黃高彬
感冒
黴漿菌
黴漿菌肺炎
女童
防曬噴霧
防曬
白肺
CTWANT
大陸
學齡兒童
呼吸道感染
感染肺炎
羅東博愛醫院
小兒科
呼吸道融合病毒
人類間質肺炎病毒
新冠病毒
腺病毒
不菸不酒
肺癌末期
癌王
定期檢查
蘇一峰
疫情
新冠
流感病毒
呼吸道病毒
生命危險
重症患者
病毒
插管
呼吸衰竭
黃立民
酒精
喉嚨
化膿
結膜炎
新冠肺炎
健康點點名
王宜安
肺炎黴漿菌
可藍
肺積水
流感疫苗
N95口罩
黴漿菌感染
世衛