有8387項結果
...
巧克力囊腫
子宮內膜異位
中醫治療
不孕症
中醫
活血化瘀
調經助孕
氣滯血瘀
寒凝血瘀
痰濕阻瘀
三陰交穴
血海穴
還巢穴
頭皮針
活血解鬱茶
馬光中醫
針藥並用
卵巢囊腫
月經不順
好孕調理
營養師張馨方
油炸物
點餐技巧
鹹酥雞
吃不胖
吸油食物
百頁豆腐
健康飲食
份量控制
飲食平衡
反覆流產
免疫失調
抗磷脂抗體
抗核抗體ANA
風濕免疫科
自然殺手細胞
NK cell
習慣性流產
備孕免疫治療
低分子量肝素
乾燥症
懷孕
紅斑性狼瘡
萬芳醫院
先天性心臟傳導阻滯
近視
近視控制
近視加深
角膜塑型片
OK鏡
周邊離焦
眼軸增長
散瞳驗光
兒童近視
青少年
羅英源醫師
護眼習慣
睫狀肌放鬆
多巴胺抑制近視
胃息肉
胃癌預防
癌細胞
胃幽門螺旋桿菌
張家銘醫師
分子體質
慢性發炎
胃鏡檢查
精準健康
癌症預防
基因突變
胃酸逆流
細胞求生模式
癌症早期
蟑螂
馬桶
蟑螂沖馬桶
卵鞘
下水道
殺蟑螂
高濃度酒精
氣門
蟑螂過敏原
蟑螂防治
蟑螂繁殖
蟑螂存活
蟑螂卵
肺膿傷
敗血症
日本旅遊
咳嗽
電腦斷層
肺部
肺炎併發症
毛玻璃結節
員榮醫院
急診
肺部感染
營養師高敏敏
21分飽減肥法
佛系減肥
7分飽
飽足感控制
數字減肥
享瘦體質
營養師
健康瘦身
飲食份量
飲食控制
養髮
補腎烏髮
何首烏
當歸
枸杞
桑葚枸杞茶
白髮
中醫調理
掉髮
母親節
肝血腎精
中央社
三合一快篩
家用快篩
COVID-19
A型流感快篩
B型流感快篩
食藥署
衛福部
家用快篩藥局
快篩上架
流感快篩家用版
新冠快篩
快篩試劑核准
彰濱秀傳醫院
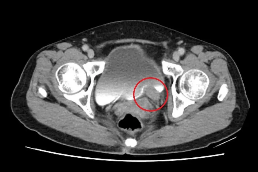
巨大腫瘤
印尼移工
腹腔腫瘤
良性腫瘤
外籍勞工
女性健康
異鄉就醫
腹部腫瘤
罕見病例
頸圍
內臟脂肪
雙下巴
王思恒醫師
弗雷明漢心臟研究
好膽固醇
血糖異常
阻塞性睡眠呼吸中止症
運動
瘦脖子
β腎上腺素受體
胰島素阻抗
糖尿病
BMI值
診間錄影違法
醫療隱私
針孔偷拍
愛爾麗診所
中華民國醫師公會全國聯合會
醫療法
監視器
醫美診所
偷拍
醫療機構醫療隱私維護規範
停業處分
晨勃消失
性功能
荷爾蒙下降
睪固酮
泌尿科
張英傑醫師
男性性功能
血管健康
勃起障礙
壓力
晨勃
嬰兒奶粉
紐西蘭a2牛奶公司
蠟樣芽孢桿菌毒素
嬰兒配方奶粉
食品污染
奶粉毒素
性病反覆感染
乒乓球效應
超級淋病抗藥性
菜花
HPV病毒
生殖器皰疹
潛伏期
梅毒
披衣菌
滴蟲
性病
PrEP事前藥
PEP藥物
HPV疫苗
陳鈺昕醫師
性病篩檢
兒童睡眠
神經發育
睡眠不足
睡眠時間
學齡兒童
褪黑激素
螢幕藍光
情緒調節
前額葉皮質
國泰醫院
兒童注意力
睡眠習慣
快速動眼期
大腦發展
攝護腺癌
PSA指數
MRI診斷
MRI超音波融合切片
攝護腺特異抗原
台北慈濟醫院
早期發現
存活率
攝護腺癌治療
海芙刀
精準切片
攝護腺癌家族史
肥胖致癌
防癌減重
癌症風險
黃軒醫師
瘦瘦針
防癌
GLP-1受體促效劑
減肥手術
子宮內膜癌
加工肉類
致癌風險
生活方式
體重管理
腎臟癌
胃食道逆流
清喉嚨
半夜咳嗽
火燒心
夜間逆流
自律神經失衡
難治型胃食道逆流
睡眠
生活節律
愛爾麗
高雄市衛生局
過期藥品
管制藥品
病歷登載不實
藥事法
反針孔稽查
台中醫美
盧秀燕
減肥
剩菜變胖
腹部脂肪
蛋白質攝取
代謝下降
陳珮淳營養師
減脂飲食
胰島素波動
省電模式
穩糖飲食
高蛋白
早餐
精準廚房
健保費
保費調漲
石崇良
安全準備金
健保財務
補充保費
健保法
費率調整
健保會
保險收支
社會保險
阿茲海默症
失智新藥
侖卡奈單抗
Leqembi
多奈單抗
Kisunla
失智症
β類澱粉蛋白
輕度認知障礙
類澱粉清除治療相關影像異常
APOEε4基因
國泰綜合醫院
單株抗體
早期治療
紓伏效
抗流感藥
Baloxavir
缺藥通報
必要藥品
塩野義
罰鍰
流感用藥
專案輸入
缺藥
喉嚨痛
口咽癌
單側喉嚨痛
扁桃體癌
人類乳突病毒
頭頸癌
喉嚨異物感
感冒
癌症
吞嚥困難
頸部淋巴
淋巴腫大
HPV感染
蘇怡寧醫師
不婚不生快樂一生
台灣生育率
少子化
新生兒
超高齡社會
養小孩
生育選擇權
勞保年金
婦產科醫師
生育率
停經後出血
子宮出血
腹腔鏡微創手術
子宮內膜切片
婦科癌症
更年期
高風險族群
達文西手術
腦部白質病變
飲食調整
大腦健康
護腦食物
日本研究
膳食纖維
腸腦軸
神經保護
Geroscience研究
高糖飲食
營養師老辜
認知退化
經痛加劇
子宮肌瘤
子宮內膜異位症
經血量異常
婦科疾病
嘉義基督教醫院
止痛藥
止痛
子宮健康
微創手術
慢性貧血
骨盆腔沾黏
不孕
地中海飲食
婦科超音波
護理師
加薪
專科護理師
台北醫院
簽約獎金
護師節
護理人力
年資認列
護理留任
台北醫院薪資
彰基醫學中心
彰化基督教醫院
孕婦車禍
骨折
剖腹產
開放性骨折
跨科團隊
胎盤早期剝離
高危險妊娠
新生兒加護病房
重度級急救責任醫院
CT輻射
鈦金屬鋼板固定
骨質疏鬆
存骨本
補充鈣質
維生素D
骨骼健康
女性更年期
桃園醫院
負重運動
日曬補鈣
骨折預防
中高齡婦女
飲食保健
按摩脖子
中風
頸部按摩
椎動脈剝離
頸動脈剝離
中風預防
年輕人中風
缺血性中風
頸部血管
脂肪胰
胰臟癌
脂肪肝
代謝失衡
健康檢查
胰臟健康
血糖波動
三酸甘油脂
高雄大社
食物中毒
家族聚餐
腸胃不適
蒜泥蚵仔
白灼蝦
食品安全
食品中毒
食品良好衛生規範準則
派員稽查
愛爾麗集團
針孔攝影機
醫事司
台北市衛生局
診所稽查
肺阻塞
免費肺功能檢測
亞東醫院
久咳不癒
老菸槍
低劑量電腦斷層
肺癌
早期篩檢
世界氣喘日
戒菸諮詢
胸悶喘氣
孕婦口腔保健
牙周病
孕期牙科治療
孕婦
照X光
牙齦炎
早產風險
牙齒感染
健保孕婦洗牙
低出生體重兒
三軍總醫院
牙科
拔牙時機
口腔照護
代糖
阿斯巴甜
零卡飲料
血糖
補償性飢餓
腸道菌叢
2B致癌物
無糖飲料
味覺鈍化
台大醫院雲林分院
工研院
智慧醫療
醫療AI
細胞療法
再生醫學
核酸疫苗
新藥研發
體外檢測
創新醫療器材
生醫科技
跨域合作
合作協議
區域醫療
登革熱
高雄登革熱
孳生源
病媒蚊
巡倒清刷
陽性容器率
境外移入
漢他病毒
社區防疫
環境整理
容器減量
南投縣衛生局
水晶手鍊
罰款
違反藥事法
AI生成
文案違法
宣稱療效裁罰
網路販售違規
能量手環
誇大療效
醫療效能
立夏
中醫養生
中暑預防
清熱利濕
中醫濕熱
濕疹中醫治療
汗皰疹
祛暑涼心茶
清熱利濕排骨湯
皮膚問題
茵陳五苓散
龍膽瀉肝湯
四妙散
姿勢性低血壓
站起來頭暈
劉博仁醫師
自律神經
頭暈
電解質
維生素B群
貧血
低血壓
恐慌症
壽命
死亡風險
預期壽命
恐慌症治療
心悸胸悶
全民健康保險資料庫
Journal of Affective Disorders
童綜合醫院
安南醫院
中國醫藥大學附設醫院
跨院研究
身心疾病
心血管疾病
世代追蹤研究
電子菸
加熱菸
尼古丁
不舉
抽菸
陰莖縮短
血管收縮
精子品質
勃起功能障礙
腸病毒
好發季節
重症前兆
克沙奇A6型
腸病毒D68型
嬰幼兒腸病毒
腸病毒預防
疾管署
洗手
越南
腸病毒71型
併發重症
H7N7
禽流感
新型A型流感
本土禽流感
PB2 E627K突變
禽流感風險評估
IRAT
人傳人
養禽業者
接觸者監測
流行性腦脊髓膜炎
奈瑟氏腦膜炎雙球菌
流腦確診
腦膜炎
嬰兒腦膜炎
非洲流腦帶
腦膜炎雙球菌B型