有120項結果
...
台北
女警
新北市
警花
澄清
偷拍
不雅片
販賣
外流
台北地檢署
起訴
影射
中職
棒球
澄清湖
台鋼雄鷹隊
魔鷹
台鋼
台鋼雄鷹
銀行行員
搬運鈔票
疝氣
達文西手術
精準醫療
腹股溝疝氣
澄清醫院
國防部
顧立雄
國安會議
變臉走人
輸尿管結石
腎臟水腫
泌尿外科
達文西機械手臂
呂謹亨醫師
輸尿管狹窄
台中市
女子
痔瘡
直腸癌
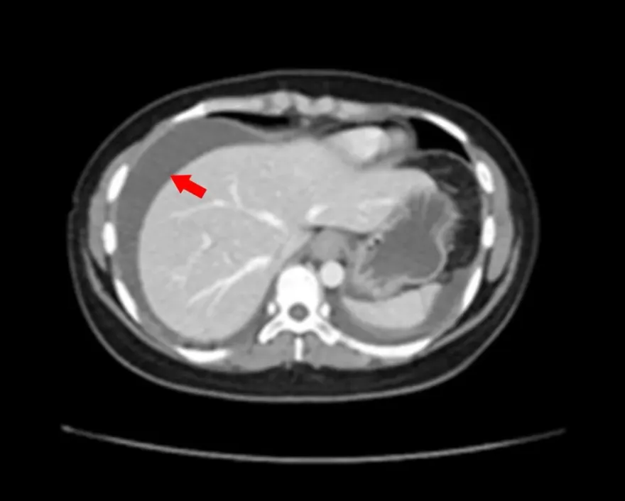
肝臟
肛門出血
中港澄清醫院
印度神童
阿南德
預言
地震
台灣
強震
海嘯
Threads
網友
中信金
重大訊息
辜仲諒
澄清湖大樓購地弊案
退出董事會
中華電信
當機
斷線
許藍方
腦動脈瘤
手術
性學博士
暈倒
重摔
中信銀
澄清湖購地案
膝蓋
受損
前十字韌帶斷裂
半月板骨破損
外側膝蓋軟骨破損
王稚暉
骨科
核磁共振
人工膝關節
膝蓋軟骨移植
關節鏡
膝蓋軟骨
高雄
綠鬣蜥
掉頭髮
頭髮稀疏
中港院區
壓力大
梅毒
樋口飯糰
房東
黃牛
金融貸款
禿頭
掉髮
皮膚科
雄性禿
紅疹
台中
遺傳
二期梅毒
遺傳雄性禿
泌尿道感染
血尿
結石
攝護腺
柯文哲
陳佩琪臉書
竹聯幫
黃少岑
幫主
堂主
劉振南
接任
扣頭
聲明
彰化
超兇
禮儀師
助理
內衣
服務
鄉民
IG
瑜萱
高清
方大同病逝
經紀公司
賦音樂
詐騙團體
音樂才子
方大同
氣胸
杜承哲醫師
血胸
三軍總醫院
胸腔外科
死亡風險
南港
LaLaport
停車
費率
三井不動產
新光三越氣爆
台中新光三越氣爆
衛福部
澳門
中國醫藥大學附設醫院
新光三越爆炸
台中新光三越爆炸
遊客
氣爆
陸委會
新光三越
中港澄清
膽固醇
心血管疾病
無慢性病
血脂
高血壓
健康檢查
大S病逝
具俊曄
大S
限時動態
遺產
汪小菲
肺炎
徐熙媛
日本旅遊
敗血症
CTWANT
大火
商場
燒肉店
咖啡廳
初二
平等澄清醫院
商店
傷亡不明
西屯區
台灣大道四段
寶林茶室
監察院
糾正
衛生局
台北市衛生局
食安法
陳菊
腎臟腫瘤
腦血管阻塞
腦中風
缺血性腦中風
出血性腦中風
動脈粥狀硬化
神經內科
大腸癌
糞便潛血
胃鏡
大腸鏡
腫瘤
內視鏡手術
新莊分局
小隊長
貪瀆
偵查隊長
霸凌
新冠疫情
新冠病毒
COVID-19
後製
造假
youtube
御鼎興醬油
謝宜容
謠言
戶口名簿
勞動部
醬油
高雄澄清湖
御鼎興
心電圖
葉克膜
冠狀動脈阻塞
血栓
畢書盡
前東家
老鷹音樂
合約糾紛
鬧翻
李亞明
李玉璽
私生活
馬筱梅
Mandy
東區
中醫
懷孕
嚴重肥胖
糖尿病
體重減輕
口服藥物
併發症
迪麗熱巴
黃景瑜
未婚生子
緋聞
台北市
內湖區
無照駕駛
少年
死亡車禍
內湖分局
法院
假扣押
程序
詐騙
疾管署
電子郵件
禮券
攝護腺癌
攝護腺肥大
頻尿
解尿不順
台商
切片化驗
癌症指數
膀胱
澄清湖棒球場
高雄市政府
運發局
白喬茵
陳其邁
高雄市長
吳念庭
寶特瓶
澄清湖球場
胡開宏
董事長
澄清聲明
人力短缺
漢翔航空工業
帕金森氏症
神經障礙
非典型帕金森氏症
鄭佩佩
罕見疾病
皮質基底核退化症
捐贈大腦
三重區
毒駕
逆向
警察
捐款
帳戶
警方
遺孀
中油
好市多
液化石油氣
凍漲
台塑石化
價格
美光
力積電
LPG
1y奈米DRAM