有165項結果
...
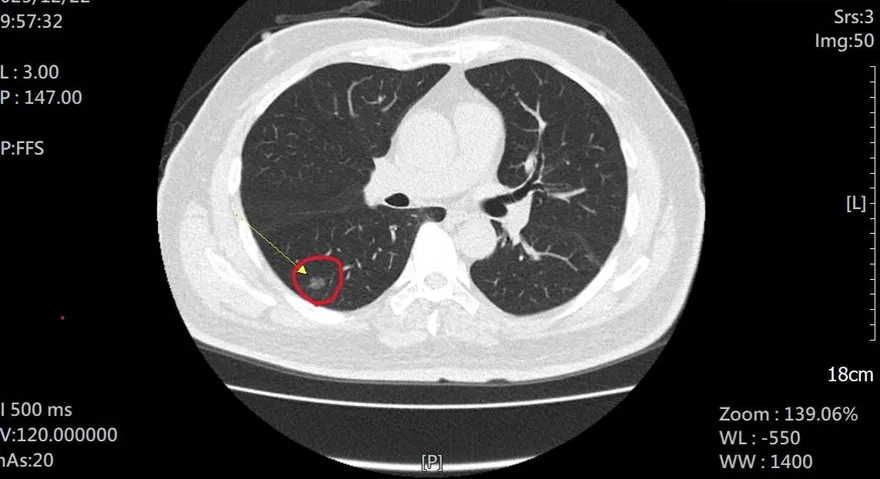
肺癌
肺癌篩檢
LDCT篩檢
低劑量電腦斷層
肺腺癌
戒菸
員榮醫院
微創胸腔鏡手術
早期肺癌
國健署
毛玻璃狀病變
胃癌
胃幽門桿菌
傳染
共享
腸胃
公費篩檢
愛滋篩檢
愛滋病毒
安全性行為
保險套
聯合醫院昆明防治中心
性傳染病
PrEP
暴露前預防性投藥
匿名篩檢
情人節
春節
愛滋防治
性病諮詢
性病
梅毒
淋病
HIV
人類免疫缺乏病毒
土城醫院
年輕族群
交友軟體
性行為安全
定期篩檢
疾管署
春節連假
M痘疫苗
自我篩檢
公費疫苗接種
性病防治
風險族群
多重性伴侶
聯合國愛滋規劃署
阿茲海默症
眼底檢查
失智
視網膜
篩檢
大腦
肺炎披衣菌
非侵入性
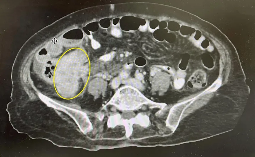
胰臟癌
CA19-9
癌症指數
第一期胰臟癌
胰臟腺癌
三高
抽菸
林相宏醫師
癌症篩檢
腫瘤
癌症早期
肝膽腸胃科
磁振造影
胰臟癌檢查
攝護腺癌
攝護腺肥大
海神刀
超音波消融手術
臺中醫院
泌尿科
性功能障礙
尿失禁
PSA篩檢
攝護腺癌治療
達文西手術
放射線治療
大腸癌
健保給付
標靶藥物
cetuximab
panitumumab
encorafenib
BRAF V600E突變
中央健康保險署
陳亮妤
癌症治療
直腸結腸癌
雙標靶治療
藥物給付
健保放寬
癌症預防
公共衛生
黃軒醫師
Nature Medicine
吸菸
HPV疫苗
子宮頸癌
肝癌
B型肝炎
空氣污染
PM2.5
菸害防制法
酒精
幽門螺旋桿菌
癌症發生率
免疫法糞便潛血
i-FOBT
大腸癌篩檢
腹腔鏡手術
台北慈濟醫院
年輕化
加工食品
大腸鏡檢查
大腸癌存活率
高油鹽飲食
性病檢查
性病報告判讀
梅毒檢測
愛滋檢測
HIV檢測
TPPA
檢測空窗期
陳鈺昕醫師
性病篩檢
陰性陽性判讀
寒假
約砲
菜花
HPV病毒
披衣菌
性病預防
空窗期
罕病
基因
新生兒篩檢
基因突變
痰
囊性纖維化
分泌物濃稠
排痰
拍痰背心
莊人祥
唐玲
胃幽門螺旋桿菌
胃癌篩檢
抗生素
糞便抗原檢測胃幽門螺旋桿菌
糞便檢體
張齡予
凍卵
胚胎
TFC臺北生殖中心
PGS胚胎篩檢
非侵入性胎兒染色體檢測
PGS
NIPT
兒童發展
早期療育
發展遲緩
職能治療
南投醫院
慢飛天使
兒童發展聯合評估
遊戲互動
黃金期
復健科
兒童健康手冊
兒童發展篩檢
語言治療
胃癌手術
功能保留胃切除
奇美醫院
幽門保留式胃切除
近端胃切除
早期胃癌
胃癌存活率
傾倒症候群
胃基質瘤
微創手術
口腔癌
口腔黏膜
口腔黏膜篩檢
檳榔
口腔癌存活率
反覆性流產
習慣性流產
免疫問題
國泰綜合醫院
胚胎染色體篩檢
試管嬰兒
不孕治療
婦產科
流產
血便
豐原醫院
痔瘡
大腸癌年輕化
家族史
腺瘤性瘜肉
舒眠麻醉
微創腹腔鏡手術
糞便潛血檢測
乙狀結腸
裡急後重
國民健康署
3C育兒
早療
語言發展異常
後天發展遲緩
環境刺激不足
前列腺癌
PSA檢測
PSA指數
童綜合醫院
國際醫療
跨國醫療
馬來西亞
根治性攝護腺切除
不吸菸
癌症
腸胃問題
銀髮族
消化道疾病
胃食道逆流
便秘
消化性潰瘍
吞嚥困難
腸胃保健
食道炎
憩室炎
高齡照護
早期篩檢
糖尿病
體重下降
腹脹
胰臟內視鏡超音波
存活率
胰臟腫瘤
切片檢驗
家族病史
糖化血色素
空腹血糖
糞便潛血
腹痛
高齡醫療
超高齡社會
大腸直腸外科
澄清醫院
健康檢查
老年照護
基因檢測
帶因者篩檢
聽損基因
胚胎著床前基因診斷
隱性遺傳
地中海貧血
威爾森氏症
龐貝氏症
備孕
產前檢查
遺傳諮詢
罕見疾病
遺傳風險
孕前檢查
元旦新制
最低工資
國民年金
駕照筆試
補助
交通
元旦
性行為
梅毒螺旋體
性健康教育
梅毒症狀
性病通報
失智症
腦適能測驗
BHT-7
失智症篩檢
認知障礙
地中海飲食
高齡化社會
認知功能退化
日照中心
免費快篩
不安全性行為
公費癌症篩檢
糞便抗原檢測法
擴大篩檢
心房中膈缺損
心臟破洞
心導管治療
先天性心臟病
心臟超音波
艾森曼格症候群
肺動脈高壓
右心衰竭
新生兒心臟篩檢
呼吸困難
心悸
癌前病變
乳癌
超音波檢查
腸胃鏡
脂肪肝
低劑量肺部電腦斷層掃瞄
上班族
腹部超音波
甲狀腺超音波
冠狀動脈鈣化
健康管理
年度健檢
癌症潛伏期
早期發現
癌症風險
腫瘤指數
乳癌篩檢
聖誕派對
愛滋病
大腸直腸癌
低渣飲食
營養師李婉萍
腸道清空
清腸藥
大腸息肉
LDCT
早期症狀
高風險族群
桃園醫院
第二原發癌
連續罹癌
癌症防禦系統
免疫衰老
BRCA基因
林奇症候群
放射治療
遺傳性癌症
二期梅毒
手掌紅斑
蘇信豪醫師
皮膚紅斑
梅毒篩檢
青黴素
AI
蘇信豪
營養師
橄欖油
堅果
海鮮
補充鈣質
水分攝取
高纖飲食
低紅肉飲食
東元綜合醫院
肌力
肌少症
肌肉量
亞州人
消化不良
胃癌預防
解黑便
高風險因子
台北聯合醫院中興院區
HIV病毒
打炮團
羅一鈞
中山醫學大學
東南亞
病毒空窗期
黃士維醫師
生活習慣
飲食習慣
腸道健康
有氧運動
藤原宏美
乳癌零期
乳房全摘手術
局部復發
保乳手術
台灣乳房醫學會
三陰性乳癌
HER2陽性乳癌
中央社
沉默器官
7年級生
免費篩檢
肝臟