有321項結果
MeToo
王喬尹
提告
金曲
性騷
工藤靜香
木村拓哉
松山機場
...
土城
智慧手錶
自燃
爆炸
消保官
電池
進水
日本
河水
變色
奈良
台中
盧秀燕
台中車站
交通局
立體停車場
中天車享家
本田
Honda
性騷擾
地鐵
廣州
乘客
張淑娟
周玉蔻
吳思瑤
蔡玉真
陳東豪
大陸
四川
叫車
駕駛
冷氣
加價
計程車
閨蜜
旅行
訂金
飯店
新店
弒母
殺人
命案
落海
高美濕地
移工
海巡署
TPASS
通勤
月票
台鐵
大巨蛋
工安
工安意外
陳零九
呼呼
台74線
潭子
車頭全毀
安全島
誹謗
賭債
女友
毒品
擄人
海洛英
安非他命
違法
小亨堡
黑人
陳建州
范范
范瑋琪
保姆
網紅
小琉球
意外落海
美國
海灘
國慶日
遊客
利多卡因
汙染
5億高中生
衛生紙
濕紙巾
情趣用品
持久
王齊麟
李洋
羽球
加拿大
比賽
侯友宜
郭台銘
朱立倫
賴清德
三腳督
2024總統大選
中常會
民調
止痛藥
譫妄
大稻埕
煙火
交管
大同分局
死亡
虎頭蜂
宜蘭
蜂巢
洪曉蕾
交叉感染
西班牙
插管
扁桃腺發炎
急性
喉嚨痛
中國醫藥大學附設醫院
肝纖維化
脂肪肝
BMI值
重度肥胖
mlb
天使
美國職棒
大聯盟
二刀流
明星賽
全壘打大賽
大谷翔平
行人
鹹粥
漲價
魚肚
魚皮
瑞芳
潛水
海巡
消防局
重慶
暴雨
洪水
大牙
求償
台北地院
高溫
焚風
暑假
氣象局
國發基金
調查局
照護線上
甲狀腺結節
內分泌
湖北
派出所
女童
萌娃
警察
制服
外送員
安全帽
違規
開罰
黃疸
金溥聰
吳崑玉
NOW健康
活動
3C產品
孩子
近視
螢幕
戀愛
情侶
夫妻
劈腿
馬鈴薯
食物中毒
中毒
酒駕
拍賣
太平山
坍方
發電
子弒母
身首分離
相驗
新店區
板橋殯儀館
炎亞綸
婦幼隊
市警局
徐巧芯
九合一大選
無良公關公司
陳冠宇
謝立聖
不起訴
肌少症
骨質疏鬆症
力弱症
年紀增長
登山
體脂
晶華酒店
台北地檢署
起訴
金城武樹
池上
伯朗大道
長榮航空
國民黨
芒果
愛文
明德外役監
貪汙
調查
換臉
AI
AV女優
赤木晴子
鬼切
撞擊
黃揚明
居住正義
黃國昌
館長
陳之漢
紐約
熱狗
大胃王
靈異
兇殺
白骨
靈異事件
屏東
恆春
烏龜
海生館
生命跡象
NBA
馬刺
選秀
狀元
文班亞馬
CTWANT
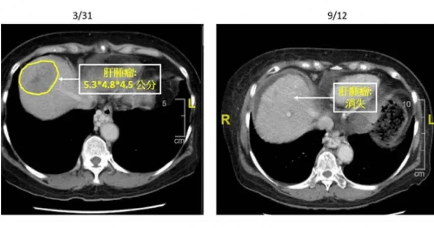
肝炎
肝硬化
甲狀腺
腫瘤
肝癌
飲食
香菇
常春月刊
便祕
腸道
高纖
腸病毒
健康醫療網
洗手
脾胃
潛伏期
病毒
鱈魚
消基會
武術指導
大麻
新北市
彰化
銅鑼燒
士林地檢署
雙子座
警戒心
金牛座
巨蟹座
新北國王
PLG
藍鳥
花蓮
兵役
抹紅
旅遊
國防部
解放軍
對台軍售
台海
聚賭
賭場
社維法
賭博罪
蔣孝嚴
急救
呼吸器
澳洲
駐台代表
台語
魏應充
傳統技藝
李靚蕾
王力宏
過戶
房子
財產
離婚
香港
吳佩慈
台灣
女星
追債
海報
老千
ptt
體測
領航猿
總經理
陳信安
爬山
洗衣機
小蘇打粉
除臭
清潔
三重區
鐵皮
工人
墜樓
不治身亡
法院
高捷
合照
澎湖
海鮮
餐廳
全家
哈根達斯
冰品
甜甜圈
新莊區
追撞
大貨車
台65線
柯文哲
蔡壁如
李艷秋
嘉義中埔
阿嬤
斑馬線
送醫不治