有241項結果
...
周玉蔻
行政院
五倍券
十倍券
行政院長
民調
中和
全裸
公園
露鳥
社維法
演出
艾薇
全明星運動會
跨年
收入
原子少年
AcQUA源少年
費城人
美國職棒
美國職棒大聯盟
俄羅斯
俄羅斯總統普丁
烏克蘭
逆轉
勇士
PLG職籃
夢想家
美國
台積電
工程師
吳怡農
王鴻薇
樂透
頭獎
印尼
刑法
軍人節
澤倫斯基
俄軍
85度C
鳳凰城
柯文哲
高虹安
新竹市長
高虹安男友
卓冠廷
潤娥
秀英
孝淵
權俞利
少女時代
起訴
傷害罪
傳播妹
男扮女裝
輪班
科技
保險
保險套
歌手
虛擬
好萊塢
華納音樂
展榮展瑞
芮德
mlb
大谷翔平
國民黨
黃承國
大S
張蘭
汪小菲
王偉忠
豪神
林書豪
PLG
高雄鋼鐵人
基隆
海洋大學
墜樓
千萬
財政部
統一發票千萬獎
千萬發票
苗栗
治安
黑幫
英特爾
Intel
無人機
蘇清泉
高嘉瑜
陳明通
台大碩士
碩士論文
台北
李四川
蔣萬安
嘉義
朱立倫
嘉義市
新竹縣
奈米
蔡正元
鄭文燦
台大論文
八仙樂園
八仙爆炸
八仙塵爆
八仙傷患
八仙事件
八仙爆炸案
分手
孫生
反骨男孩
Wendy
林宛璇
賴清德
新台幣
投資
審計部
國發基金
退場
台南學甲88發槍擊案
通緝
黃牛
黃牛價
PS5
轉賣
浮屍
男浮屍
河濱公園
電影
下跪
磕頭
基努李維
捍衛任務
通膨
蔡英文
蘇貞昌
經濟衰退
高通膨
白飯
色素
紫米
抗氧化
花青素
抗發炎
植化素
盧秀燕
台中市長
張善政
何志偉
急救
脖子
睡姿
落枕
頸部僵硬
拉傷
陳亭妃
魔獸
雲豹
霍華德
NFT
高雄
違規
通緝犯
毒品案
盤查
民主進步黨
蜜餞
多酚
洛神花
鮮享農YA - 農糧署
農糧署
喝酒
抽菸
心肌梗塞
急性心肌梗塞
死亡
秀智
穿搭
Jennie
Chanel
洪榮宏
台北小巨蛋
台北小巨蛋演場會
台中
搶劫
警政署
郭台強
黃明昭
內政部
台灣運彩
卡達世足賽
眼瞼
乾眼症
瞼板腺
推特
社群
社群媒體
脂肪
美肌
蛋白質
益生菌
營養素
維生素C
膳食纖維
肌膚保養
維生素E
陳宗裕營養師
黃敏惠
李俊俋
2022嘉義市長選舉
2022九合一縣市長選舉
手機
越南
爆炸
超商
垃圾
現金
台中市
清潔隊
垃圾山
清潔隊員
牛奶
鈣質
豆漿
王世堅
T1 League
「甜瓜」安東尼(Carmelo Anthony)
邱威傑
頭痛
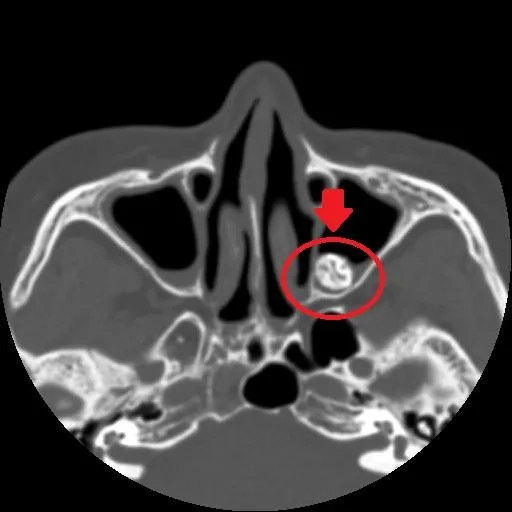
鼻竇炎
鼻涕倒流
血絲鼻涕
亞大附屬醫院
鼻竇異生齒
乾癢
魚鱗癬
嚴重的先天性魚鱗癬症
皮膚乾燥
娘家
紅麴
民視
侯友宜
新北市
湯神
勇士隊
金州勇士
金州勇士隊
金洲勇士隊
湯普森
日本
謀殺
沖繩
姆巴佩
吳子嘉
交通事故
屏東車禍
意外
私人土地
上鎖
賭博
集團
安以軒
刑事
槍手
南韓
首爾
地鐵
史努比
新光三越
新光三越南西店
柯志恩
7-11
7-ELEVEn
優惠
房子
特斯拉
跑步機
糖尿病
胰島素
控糖
衝突
剛果
叛軍
屠殺
M23
旅遊
解封
封控
機票
食道癌
喉嚨痛
下咽癌
異物感
頭頸癌
癌前病變
胃鏡檢查
南投醫院
魯格氏液
食道射頻燒灼術
癌症
小蜜蜂
詐騙
竹聯幫
柬埔寨
明仁會
囚禁
運彩
世足
世足賽