有273項結果
球王比利
黑珍珠
足球
陵墓
清水健
AV男優
24節氣
時令節氣
米食
美國
銀行
摩根大通
經濟衰退
清寒家庭
宜蘭
...
大陸
遠洋漁船
印度洋
習近平
船員
失聯
海鮮
過敏
林口長庚醫院
加工食品
水泥預拌車
機車
內輪差
非禮
侯友宜
2024大選
北一女
外送
國民黨
總統
中信兄弟
林威助
彭政閔
鼻塞
嬰兒
感冒
王思佳
假包
關穎
愛馬仕
軍官
陸軍官校
外流
外流片
影片外流
SWAG
輔導長
紐西蘭
大火
火警
人為縱火
三總
醫療暴力
啦啦隊
李多慧
同學來了
海產
停水
新北市
捷運
截肢
截肢手術
反轉
骨癌
兒童多系統發炎症候群
新冠疫情
中醫師
中醫科
四神湯
中藥
夏天三伏貼
三九貼
風水
居家
運勢
廁所
私密處
輔仁大學
女大生
恐嚇
賠償
談判
拘提
李彥秀
彩券
南韓
家庭主婦
洗衣
刮刮樂
回收場
屏東
2024總統大選
徵召
殷瑋
朱立倫
郭台銘
政黨輪替
芒果
營養師程涵宇
熱量
營養素
愛文芒果
糖尿病患
腎臟病
台積電
台股
伊能靜
秦昊
減肥
菜單
食譜
台中
墜樓
台中三井LaLaport購物中心
李乾龍
王金平
浙江
核磁共振造影
醫療疏失
丟包
新店
北新路
富商
老闆
泰國
亂刀刺死
捅人
香菸
電子菸
加熱菸
北韓
金正恩
間諜衛星
軍事行動
中央社
新冠肺炎
國台辦
陸委會
兩岸
陸客團
旅遊
台灣
新莊
公寓
婦人
神旺商務酒店
環保
台南
鄭宗哲
小聯盟
mlb
愛情詐騙
槍擊案
高中生
日本
半導體
晶片
羽球
蘇迪曼盃
跌落
護欄
受傷
澎湖
涼亭
市井豪門
張家瑋
張書瑋
8點檔
精品包包
名牌精品
炫富
內湖
豪宅
賴士葆
環球影城
設施
蜘蛛人
遊客
雙載
自撞車禍
無照騎車
輝達
美股
巴菲特
中常會
團結
徐巧芯
詐騙
165反詐騙
玖壹壹
健志
化妝師
陳甯亞
金塊
湖人
約基奇
聶雲
家人
留學
大都會
Justin Verlander
賴清德
房價
晉惠帝
陳美雅
高雄
立委
趙天麟
生肖
空氣品質
西部
北部
四海幫
黑幫
公祭
白宮
奈及利亞
遇襲
懷孕
中醫進補
孕期
中藥材
薑母鴨
藥燉排骨
皺紋
抬頭紋
心血管疾病
網紅
跑趴
IU
尾隨
騷擾
GUCCI
google
帳戶
馬斯克
特斯拉
升息
美國聯準會
祖雄
佳娜
Youtuber
日本youtuber
華碩
cpu
主機板
蔣萬安
行人地獄
美國空軍
戰機
降落
意外
持槍
莫蘭特
灰熊
NCC
中天新聞台
換照
護理師
德國
宿醉
病患
鎮定劑
孝順
家庭
父母
健保
CTWANT
7月
負擔
收費
健保署
喝咖啡
美式咖啡
拿鐵咖啡
牛奶
咖啡因
黑咖啡
健康醫療網
2024立委選舉
一袋女王
陳宇風
八點檔
葉家妤
張學良
陳致中
陳水扁
常春月刊
血管瘤
血管病變
病灶
雷射
血管畸形
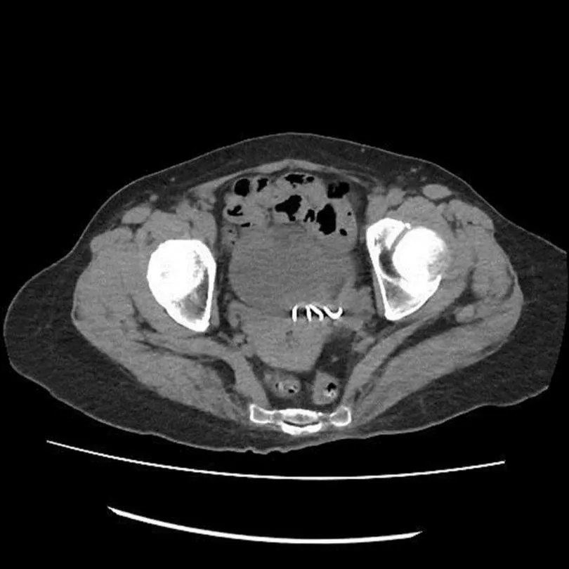
避孕器
子宮
子宮避孕器
膀胱
更年期
腹膜炎
敗血症
馬曉光
一國兩制
女屍
淡水
王鴻薇
陳明通
台大