有202項結果
美國
美國總統大選
海利
美國共和黨
初選
比利時
分屍
頭部
行李箱
精神病院
國道
汐止
馬拉松
交管
路跑
大陸
全國政協會議
習近平
大陸兩會
和平統一
蘆洲
安全島
自撞
成蘆橋
金門
撞船
郭正亮
海巡
嗆死
男嬰
溢奶
馬來西亞
托嬰中心
...
台北市
台北市社會局
女科員
大麻
台北市政府
台北地檢署
健身
蔣萬安
天坑
台南
貨車
建案
工安
勒令停工
吊車
中天新聞台
羅智強
陳建仁
綠也掀桌
國民黨
NCC
工地意外
台南市
社會局
交保
販毒
男友
情侶
台積電
房貸
沒錢搭車
總統府
憲兵
自戕
BMI過高
資深藝人
男星
張小燕
胡瓜
房產
金廈海域
大法官釋字
民進黨
吳思瑤
沈伯洋
吳宗憲
謝寒冰
小貨車
大貨車
雲林
虎尾
麥寮
補選
蘇丹紅
學校
營養午餐
辣椒粉
調味粉
咖哩粉
停用
總統大選
翁曉玲
賴清德
蕭美琴
陳智菡
日本
原味內褲
正妹
YT
內衣褲
脫衣
漁船
賴士葆
火警
火災住警器
民宅
電熱毯
撲滅
日月潭
日月潭水庫
日月潭一等高
釣魚
外來種
魚虎
海巡署
蔡正元
大新聞大爆卦
馬千惠
趙春山
李強
下雨
降溫
強烈大陸冷氣團
鋒面
低溫
天氣
中央氣象署
國際婦女節
三八婦女節
手搖飲
優惠
甜點
小孩
小孩哭鬧
乘客
家長
飛機
高嘉瑜
港湖女神
基隆市長
謝國樑
小屁孩
張通榮
許財利
石茂強
少爺
槍殺
羈押
泰國
毒品
印度
勞動部長
王鴻薇
許銘春
印度移工
新北市
教育局
范少勳
劉俊謙
合體
電影
伴遊
戲水
瀑布
我在這裡等你
登山
失聯
協尋
玉山
逢甲
EMBA
兩會
經濟
GDP
大陸國家發改委
鄭柵潔
聯結車
駕駛
國6
大安分局
北檢
姚淑文
移工
寶可夢
卡牌
美工刀
台東
國小
校園暴力
役所廣司
坎城
影帝
我的完美日常
奧斯卡
滑雪
周湯豪
隱疾
懼高症
澳門
演唱會
國軍
士官
曝屍
割頸
調查
英國
登機
座位
長相
機場
限高桿
摔車
橫桿
追撞
五股
機車
酒國昆凌
詐騙
坑殺
GTO小商人
掀底
三姊弟
彰化
開刀
搶救
血壓
昏迷指數
胰臟癌
標靶治療
癌症
治療
醫學
新技術
癌王
Makiyo
川島茉樹代
復出
暴瘦
癌末
減肥肥
繼承
流放
離婚
曾銘宗
富邦金
前立委
金管會主委
財政部
許金泉
浙江
大排檔
餐廳
搶生意
甩頭
內湖
執行長
特斯拉
死亡車禍
2026
議員
柯文哲
中常會
報天氣
氣溫驟降
春天
通緝犯
謊報
謊報身分
洗錢
刀械
朱立倫
黃復興黨部
台北市議員
應曉薇
飯店
床戰
激戰
淫聲
閃電
打雷
嘉義市
南投縣
天氣風險公司
黃瀞瑩
小草咖啡廳
全壘打
網紅
馬克媽媽
部落客
CTWANT
色素
鮮豔
鮮紅色
春耕
供水
缺水
九隻蛙
9蛙
水利署長
賴建信
春運
結束
人員
流動量
公路自駕
鐵路
運輸
翻車
南投
三寶
賓士
德國
俄羅斯
飛彈
密碼
竊聽
運動
運動中心
音量
耳機
A片
安全帽
打死人
高雄
謎片
黨主席
台北市長
NewJeans
北捷
文湖線
復古
復古風
HYBE娛樂
HYBE
女團
台灣
掛號費
掛號費調漲
漲價
價格
調漲
黃揚明
黃帝穎
民事訴訟
大樂透
威力彩
財運
牡羊座
金牛座
水瓶座
韓國瑜
立法院
立法院長
八月堂
可頌
協議
提告
判賠
老翁
成大醫院
圍牆
油門
山東
睡覺
聽損
助聽器
底特律
爆炸
大火
大陸國企
年薪
包租公
相親
生活開銷
明細表
育嬰假
石舫亘
性騷擾
邵雨薇
傅孟柏
床戲
李國毅
田中千繪
親密戲
十字路口
苗栗
苑裡
最高檢
士林地檢署
註銷
護照
名單
要犯
福島
新幹線
月台
誤點
科員
南京東路
汽車
求職
跳槽
找工作
職場
運勢
星座
粉紅超跑
苗栗拱天宮
白沙屯媽祖
北港
北港牛墟日
假日
人潮
蔡咏鍀
北港牛墟
退輔會
馮世寬
徐巧芯
謝衣鳳
起訴
抓猴
殺人罪
男公關
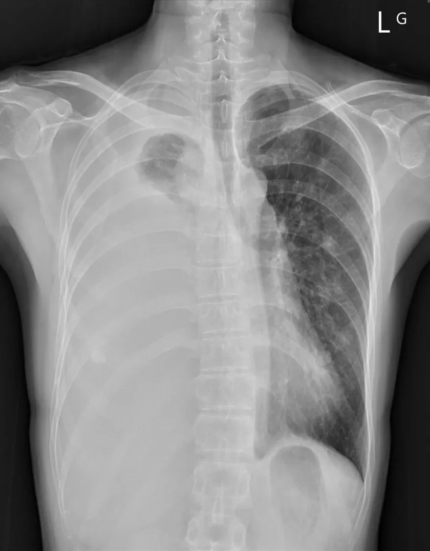
不抽菸
肺癌
肺癌末期
蘇一峰
咳嗽
少煮菜
黴漿菌感染
彩券
中獎
台彩
今彩539
獎金
雪霸國家公園
墜谷
積雪
苗栗消防局
搜救訓練
邱國正
國防部
頭份
誘拐小孩
阿姨
母親
揮拳
面前
頭份市綜合運動公園
市議員
警方
法國
買一送一
促銷
低價
企業
消費者
國務院
總理
頭條開講
高虹安
新竹市長
貪污
詐領助理費
台北地院