有529項結果
謝金晶
豬哥亮
腫塊
...
大陸
廣東
眼睛
腫痛
眼眶
異物
手術
筆頭
火鍋沾醬
健康火鍋
營養師呂美寶
低鈉沾醬
蘿蔔硫素
含硫化合物
辣椒素
抗發炎
促進循環
暖身食材
薑絲
蒜泥
白蘿蔔
火鍋調味
減少水腫
健康飲食
冬季養生
沙茶醬
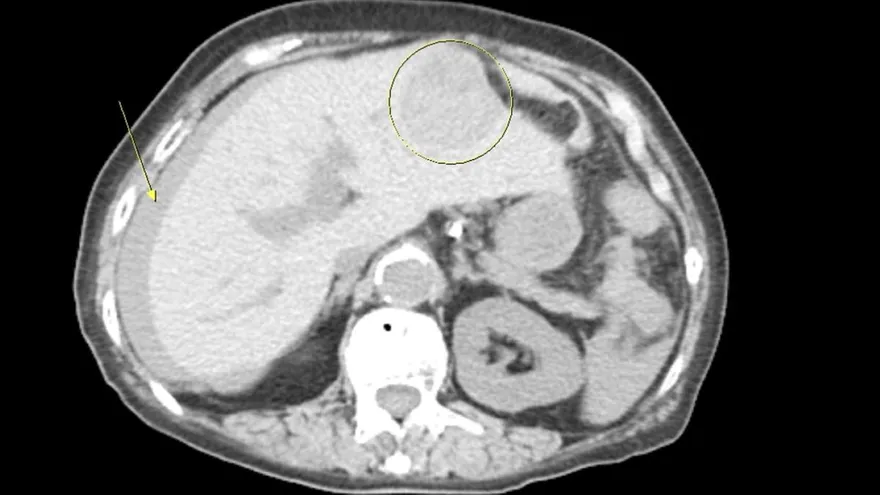
肝癌
腹痛
胃痛
肝臟
腫瘤
腹部超音波
健康雷達
痔瘡
大腸癌
婦產科
生產
孕婦
健康我+1
新冠肺炎
肝癌自發性消失
免疫攻擊機制
腫瘤缺血缺氧
致癌物質的戒除
黃軒醫師
抗癌
假資訊
醫療詐騙
癌症治療
培養皿實驗
免疫治療
陰謀論
祖傳秘方
臨床試驗
腫瘤指標
正規治療
醫療資訊辨識
奇美醫院
癌症傷口
安寧緩和照護
傷口照護
銀離子敷料
惡性腫瘤
腫瘤潰瘍
傷口衛生
末期病人
傷口異味
傷口清創
居家護理
腦下垂體腫瘤
經鼻內視鏡手術
微創顱底手術
北醫附醫
性格改變
泌乳細胞型垂體腺瘤
神經外科
頭痛
頭暈
視神經壓迫
荷爾蒙失調
癌症
乳癌
甲狀腺癌
子宮內膜癌
乳癌治療
超低分次放射治療
桃園醫院
放射腫瘤科
IGRT影像導引技術
早期乳癌
術後放療
精準醫療
個人化治療
放療副作用
傷口癒合
困難傷口
劉中平醫師
血液循環
水腫
糖尿病
傷口潰爛
慢性傷口
傷口治療
血管阻塞
皮膚潰爛
葉克膜
腦部缺氧
肺水腫
台中地檢署
加油站
解剖
瘦瘦針
胰臟
高血壓
高血糖
林相宏
庫欣氏症候群
腮腺癌
腮腺腫瘤
腺細胞癌
旋轉皮瓣手術
台北慈濟醫院
耳鼻喉科
顏面神經
弗雷氏症候群
頭頸癌
腮腺切除手術
隱藏式傷口
腎臟
阿嬤
貧血
紅血球
鉛中毒
腎臟科醫師
林軒任
重金屬
中毒
拜拜
重金屬中毒
長庚
長庚名醫
詐騙
中醫養生
楊賢鴻
不實醫療廣告
腸套疊
Vanek腫瘤
小腸套疊
發炎性纖維類息肉
腹腔鏡手術
平等澄清醫院
腸道疾病
良性腫瘤
小腸腫瘤
腹部疼痛
胃腸道疾病
日本
寫真女星
藤乃葵
過世
輸尿管重建
輸尿管狹窄
輸尿管損傷
達文西手術
泌尿科
呂謹亨醫師
腎臟水腫
膀胱植入術
口腔黏膜移植
雙J導管
輸尿管修復
微創手術
腰大肌懸吊術
博阿里皮瓣手術
蟹足腫
羊膜生長因子
原生基質膜
員榮醫院
疤痕治療
青春痘
疤痕增生
整形外科
纖維結締組織
生物材料
浮屍
台中
東勢
排水溝
閘門
腫脹
口腔癌
中山醫學大學附設醫院
電腦數位模擬手術
導航技術
上顎牙齦癌
顴骨植牙
口腔顎面外科
腫瘤切除
游離皮瓣重建
口腔潰瘍
咀嚼功能
中央社
低溫
心因性休克
心血管疾病
死亡率
氣溫下降
心臟衰竭
三軍總醫院
左心室輔助裝置
心臟移植
急性心肌梗塞
血管收縮
健康管理
呼吸困難
下肢水腫
冬季健康
性傳染腸道感染
志賀氏菌
腹瀉
血便
性病
肛門接觸
性傳染淋巴肉芽腫
抗藥性
成大醫院
桿菌性痢疾
梨形鞭毛蟲
痢疾阿米巴原蟲
公共衛生
男男性行為
性傳染病
腸道感染
裡急後重
頭孢子菌
腦幹
心跳
血壓
胰臟癌
早期篩檢
體重下降
腹脹
胰臟內視鏡超音波
林相宏醫師
存活率
胰臟腫瘤
切片檢驗
家族病史
糖化血色素
空腹血糖
自殺
衛福部
腫瘤心理支持方案
心健司
基底細胞癌
皮膚癌
臉部黑斑
皮膚鏡檢查
防曬
紫外線
皮膚腫瘤
皮膚切片
國民健康署
皮膚病變
喝水
含糖飲料
熱量
洗腎
止痛藥膏
腰痠背痛
腎衰竭
非類固醇類消炎止痛藥
紅豆薏仁水
除濕
體內濕氣
周宗翰中醫師
利水滲濕
脾胃
體質調理
虛寒體質
濕熱
肌少症
蛋白質攝取
鮭魚
老年人
魚肉
改善失眠
洪永祥醫師
優質蛋白質
Omega-3
DHA
腎臟健康
貝克氏囊腫
膕窩囊腫
退化性膝關節炎
膝蓋積水
微創膝關節鏡手術
中國醫藥大學新竹附設醫院
膝窩腫塊
關節液
半月板損傷
超級白急診醫師
血液腫瘤科
日本雨蛙
美洲尤文氏菌
牙齦
牙痛
下顎牙齦癌
應酬
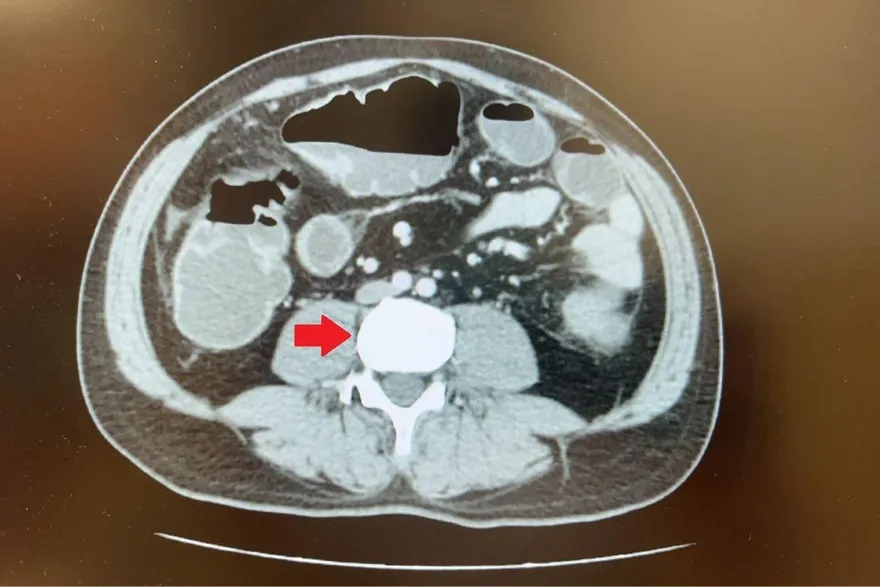
腎結石
輸尿管結石
血尿
腰痠
體外震波碎石
腎水腫
取石手術
結石預防
多喝水
腎功能
結石治療
達文西機械手臂
頸部淋巴結
雙和醫院
檳榔
牙齦腫脹
口腔白斑
菸酒檳榔
淋巴廓清術
三尖瓣逆流
感染性心內膜炎
脾臟腫大
血球異常
反覆發燒
心臟瓣膜
人工瓣膜
三尖瓣閉鎖不全
心臟超音波
肝硬化
血球減少
癌症潛伏期
健康檢查
癌症篩檢
早期發現
癌症風險
腫瘤指數
大腸癌篩檢
乳癌篩檢
低劑量電腦斷層
北捷
張文
煙霧彈
姜冠宇
肛門癌
大腸鏡檢查
肛診
HPV病毒
肛門出血
人類乳頭瘤病毒
HPV疫苗
肛裂
大腸直腸外科
銳視刀
適應性放射治療
乳房保留手術
童綜合醫院
直線加速器
乳房腫瘤
花蓮縣
卓溪鄉
大水窟山屋
受困山區
嘉明湖
高山症
高山救援
炒菜
油
致癌物質
有害物質
食用油
手搖飲
孕期飲食
血糖控制
冬季飲食
張瑜芹醫師
無糖紅茶拿鐵
檸檬烏龍茶
黑豆茶
薑汁奶茶
紅豆鮮奶
咖啡因
孕吐
孕期水腫
牙周病
刷牙
細菌
癌細胞
餓死癌細胞
基因醫師張家銘
戒糖
代謝重編程
葡萄糖
肌肉消耗
癌症飲食
代謝治療
乙酸
高果糖
腫瘤代謝
肌肉流失
皮膚搔癢
淋巴癌
夜間盜汗
濕疹
劉博仁醫師
體重減輕
淋巴結腫大