有564項結果
...
淋巴癌
淋巴瘤
惡性淋巴癌
淋巴結腫大
何杰金氏淋巴瘤
非何杰金氏淋巴瘤
B症候群
化學治療
骨髓移植
血液幹細胞移植
癌症治療
EB病毒
吳中純
惡性淋巴瘤
淋巴腺腫大
免疫功能缺損
高危險群
癌症篩檢
盜汗
體重減輕
比莉
陳念琴
周羿
惡性腫瘤
化療
骨髓移殖
非何杰金氏症
瀰漫性大B細胞淋巴癌
攝護腺癌
微塑膠
腫瘤
塑膠製品
研究
胰臟癌
癌王
免疫系統
免疫治療
跨國研究
動物實驗
MYC蛋白
肝癌
綠拿鐵
腫瘤標記
胎兒蛋白指數
甲型胎兒蛋白
腱鞘囊腫
鍵盤
電腦
滑鼠
筋瘤
抽吸治療
微創腕關節鏡清創手術
關節囊
腱鞘
年菜
剩菜
清冰箱
反覆加熱
心血管健康
氧化自由基
糖化終產物
高鈉飲食
水腫
邱世昕營養師
年假飲食
排毒蔬菜
鉀離子
血管發炎
食品安全
癌症
張家銘醫師
細胞演化
慢性發炎
腫瘤微環境
表型可塑性
癌症預防
基因突變
代謝失衡
生活調整
去氧核醣核酸
表觀遺傳
癌症復發
年後減肥
過年變胖
彭逸珊營養師
211餐盤
消水腫
低碳飲食
體重管理
年節飲食
快速瘦身
提升代謝
排便順暢
健康飲食
減重方法
久坐
痠痛
肩頸痛
腰痠背痛
台中慈濟醫院
中醫
伸展運動
氣血循環
長假症候群
肌肉僵硬
下肢腫脹
姿勢矯正
大腸癌
直腸腫瘤
放屁
魚腥味
腸道阻塞
腸胃道出血
癌細胞
癌細胞存活
代謝容許性
致癌基因
器官代謝
瓦伯格效應
粒線體
健康管理
分子醫學
蟹足腫
腫痛
生活不便
大里仁愛醫院
刺痛
洗腎
圍爐
肺水腫
插管
急救
春節
急診
大掃除
大便顏色
柏油感黑便
痔瘡
血便
便秘
排便不順
大腸鏡
火鍋
湯底
海綿
體重
變胖
趁熱吃
食道癌
溫度
黏膜
吸油陷阱
腦下垂體腫瘤
臺北榮總
敗血症
肝膿瘍
內分泌風暴
生長激素
經鼻內視鏡手術
庫欣氏病
肢端肥大症
腫瘤切除
健康檢查
血糖控制
毒性休克症候群
小兒科
發燒
抗生素
蜂窩性組織炎
旭恩小兒科診所
兒童急診
小腿紅腫
流感
休克
恙蟲病
壞死性筋膜炎
氣喘
嗜酸性白血球
亞東醫院
嗜酸性肉芽腫性多血管炎
過敏性鼻炎
異位性皮膚炎
支氣管
生物製劑
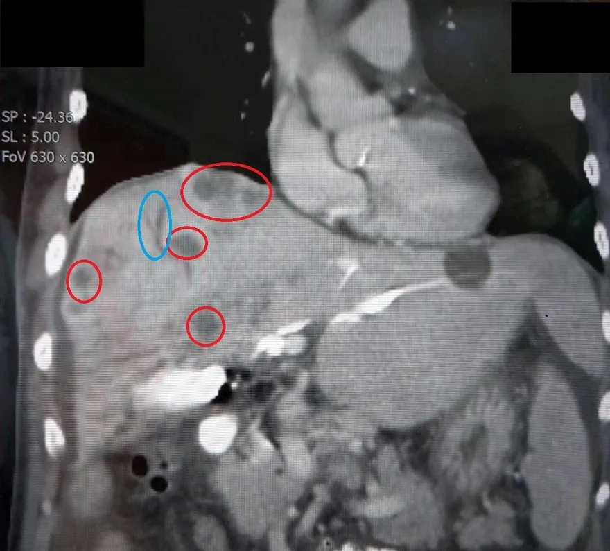
CA19-9
癌症指數
第一期胰臟癌
胰臟腺癌
三高
抽菸
林相宏醫師
癌症早期
肝膽腸胃科
磁振造影
胰臟癌檢查
謝金晶
豬哥亮
腫塊
大陸
廣東
眼睛
眼眶
異物
手術
筆頭
火鍋沾醬
健康火鍋
營養師呂美寶
低鈉沾醬
蘿蔔硫素
含硫化合物
辣椒素
抗發炎
促進循環
暖身食材
薑絲
蒜泥
白蘿蔔
火鍋調味
減少水腫
冬季養生
沙茶醬
腹痛
胃痛
肝臟
腹部超音波
健康雷達
婦產科
生產
孕婦
健康我+1
新冠肺炎
肝癌自發性消失
免疫攻擊機制
腫瘤缺血缺氧
致癌物質的戒除
黃軒醫師
抗癌
假資訊
醫療詐騙
培養皿實驗
陰謀論
祖傳秘方
臨床試驗
腫瘤指標
正規治療
醫療資訊辨識
奇美醫院
癌症傷口
安寧緩和照護
傷口照護
銀離子敷料
腫瘤潰瘍
傷口衛生
末期病人
傷口異味
傷口清創
居家護理
微創顱底手術
北醫附醫
性格改變
泌乳細胞型垂體腺瘤
神經外科
頭痛
頭暈
視神經壓迫
荷爾蒙失調
乳癌
甲狀腺癌
子宮內膜癌
乳癌治療
超低分次放射治療
桃園醫院
放射腫瘤科
IGRT影像導引技術
早期乳癌
術後放療
精準醫療
個人化治療
放療副作用
傷口癒合
困難傷口
劉中平醫師
血液循環
糖尿病
傷口潰爛
慢性傷口
傷口治療
血管阻塞
皮膚潰爛
葉克膜
腦部缺氧
台中地檢署
加油站
解剖
瘦瘦針
胰臟
高血壓
高血糖
林相宏
庫欣氏症候群
腮腺癌
腮腺腫瘤
腺細胞癌
旋轉皮瓣手術
台北慈濟醫院
耳鼻喉科
顏面神經
弗雷氏症候群
頭頸癌
腮腺切除手術
隱藏式傷口
腎臟
阿嬤
貧血
紅血球
鉛中毒
腎臟科醫師
林軒任
重金屬
中毒
拜拜
重金屬中毒
長庚
長庚名醫
詐騙
中醫養生
楊賢鴻
不實醫療廣告
腸套疊
Vanek腫瘤
小腸套疊
發炎性纖維類息肉
腹腔鏡手術
平等澄清醫院
腸道疾病
良性腫瘤
小腸腫瘤
腹部疼痛
胃腸道疾病
日本
寫真女星
藤乃葵
過世
輸尿管重建
輸尿管狹窄
輸尿管損傷
達文西手術
泌尿科
呂謹亨醫師
腎臟水腫
膀胱植入術
口腔黏膜移植
雙J導管
輸尿管修復
微創手術
腰大肌懸吊術
博阿里皮瓣手術
羊膜生長因子
原生基質膜
員榮醫院
疤痕治療
青春痘
疤痕增生
整形外科
纖維結締組織
生物材料
浮屍
台中
東勢
排水溝
閘門
腫脹
口腔癌
中山醫學大學附設醫院
電腦數位模擬手術
導航技術
上顎牙齦癌
顴骨植牙
口腔顎面外科
游離皮瓣重建
口腔潰瘍
咀嚼功能
中央社
低溫
心因性休克
心血管疾病
死亡率
氣溫下降
心臟衰竭
三軍總醫院
左心室輔助裝置
心臟移植
急性心肌梗塞
血管收縮
呼吸困難
下肢水腫
冬季健康
性傳染腸道感染
志賀氏菌
腹瀉
性病
肛門接觸
性傳染淋巴肉芽腫
抗藥性
成大醫院
桿菌性痢疾
梨形鞭毛蟲
痢疾阿米巴原蟲
公共衛生
男男性行為
性傳染病
腸道感染
裡急後重
頭孢子菌
腦幹
心跳
血壓
早期篩檢
體重下降
腹脹
胰臟內視鏡超音波
存活率
胰臟腫瘤
切片檢驗
家族病史
糖化血色素
空腹血糖
自殺
衛福部
腫瘤心理支持方案
心健司