有73項結果
...
腳中風
下肢動脈阻塞
截肢風險
心房顫動
血栓
腳部蒼白
急性血管阻塞
腳麻無脈搏
陳冠任醫師
腦梗塞
血管硬化
中風
預防
三高疾病
男星
周墨
栓塞
深層靜脈血栓
肺栓塞
劉博仁醫師
omega-3脂肪酸
納豆激酶
抗凝血藥
血管健康
預防血栓
三高
久坐不動
踮腳尖
草莓
胰島素
血糖
胰島素阻抗
發炎指數
低GI水果
蕭捷健醫師
心血管保護
抗發炎
農藥清洗
肥胖
Nutrients期刊
心肌梗塞
自救
冠狀動脈
阿斯匹靈
胸痛
心血管
猝死
用藥技巧
通報用語
布魯斯威利
失語症
妻子
病情
惡化
生日
Bruce Willis
失智症
終極警探
心因性休克
冠狀動脈阻塞
心導管手術
達文西冠狀動脈繞道手術
葉克膜
台中榮總
心血管中心
心臟去顫器
cpr
心律不整
動脈硬化
血栓移位
倒春寒
心血管疾病
黃軒醫師
OHCA
血管收縮
血壓上升
交感神經
血栓風險
春天
氣溫驟降
高血壓
冠心病
心臟急症預防
心臟病
口服避孕藥
調經藥
類荷爾蒙避孕藥
滑手機
脫肛
蹲馬桶
血便
腹壓
括約肌
便秘
下肢靜脈血栓
肛門靜脈回流障礙
病毒感染
流感
新冠病毒
皰疹病毒
血管發炎
動脈粥樣斑塊
流感疫苗
腦血管疾病
臺中榮總
手術安全
智慧用藥系統
藥師諮詢
抗血小板藥物
雲端藥歷
術前用藥評估
人工膝關節置換
出血風險
保健食品
腦中風
動脈內取栓手術
中國醫藥大學新竹附設醫院
腦部電腦斷層灌注攝影
顱內動脈瘤
靜脈血栓溶解劑
靜脈血栓
中大腦動脈阻塞
急性缺血型腦中風
黃金治療期
蜘蛛網膜下腔出血
中風自我檢測
腸中風
急診
腹痛
壞死
急診醫師
走鋼索
血壓
心肌炎
瘦瘦針
副作用
胰腺癌
胰臟炎
減重
王姿允
醫師
致死率
存活率
血管瘤
呼吸衰竭
骨質疏鬆
KLA
卡波西樣淋巴管瘤
肋膜積液
咖啡
心悸
過勞
智慧手錶
抽菸
脈衝場消融術
納豆
缺血性中風
中風死亡率
發酵食品
纖維蛋白溶解酶
大豆製品
護心食物
日本飲食
血栓溶解
花蓮慈濟醫院
取栓手術
年輕中風
腦血管阻塞
關山慈濟醫院
神經外科
緊急醫療
中風搶救
玉里慈濟醫院
台東
花蓮
務農
溫差
心臟
低溫
聖誕節
跨年
寒流
藥物中斷
睡眠不足
情緒壓力
降血壓藥
天冷猝死
寒流猝死
延遲效應
血液黏稠
動脈粥樣硬化
保暖措施
血壓監測
三高患者
低溫傷害
癌症轉移
抑制癌症
癌細胞
免疫療法
心臟科醫師
洪惠風醫師
T細胞活化
性行為
頭痛
性高潮
可逆性腦血管收縮症候群
動脈剝離
腦靜脈竇血栓
原發性性行為頭痛
神經內科
今健康
冬季
血壓升高
溫差變化
失智
疫苗
額顳葉型失智症
微梗塞
心臟黏液瘤
缺血性腦中風
急救
聯新醫院
青少年
精製澱粉
血管堵塞
油脂
酪梨油
橄欖油
三酸甘油酯
曬衣服
步態不穩
血栓溶解劑
血管阻塞
光田綜合醫院
楊智鈞醫師
搭飛機
長途飛行
卵圓孔未閉合
桃園醫院
FAST口訣
呼吸困難
冒冷汗
胸部悶痛
左側手臂、頸部或背部不適
長壽
骨骼
維生素K2
免疫力
腸道健康
無力
微笑、舉手、說你好
彈性襪
生產
脖子
關節
血管
轉脖子
CTWANT
放鬆筋骨
抽筋
癌症
電解質失衡
藥物副作用
糖尿病
鹽分不足
肌肉過度使用
腿部深靜脈血栓
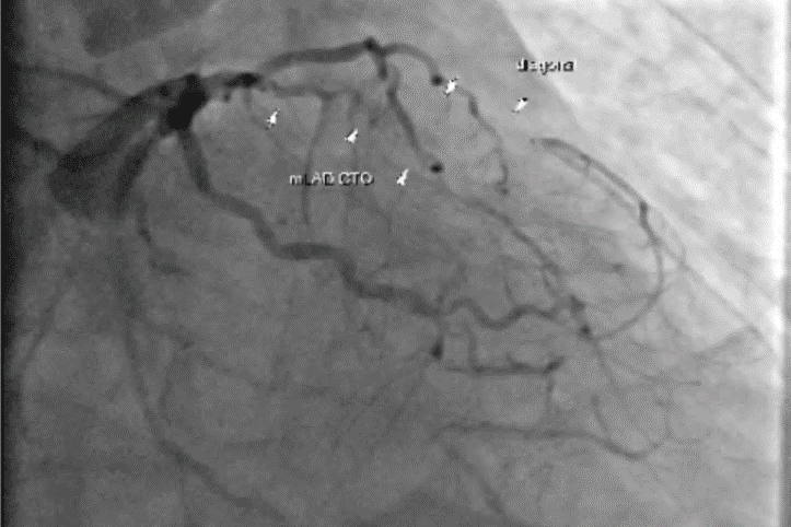
急性心肌梗塞
心導管治療
粥狀硬化
心臟衰竭
冠狀動脈支架
喘不過氣
肺積水
台北慈濟醫院
邊上廁所邊滑手機
大便
肛門
痔瘡
血栓外痔
肛裂
無糖
代糖
赤藻醣醇
營養師呂美寶
經濟艙症候群
飲水不足
血液循環
健康醫療網
開刀
林新醫院
大腸直腸外科
雷射消融痔瘡手術
水分
喝水
暑假
出國旅遊
指甲發黑
NBA
文班亞馬
西洋棋
少林寺
蘇一峰
AZ疫苗
羅一鈞
疾管署
胸腔內科
衛福部
疫苗副作用
新冠疫情
EPA
魚油
發炎
鯖魚
鮭魚
秋刀魚